
Niềng răng rất phức tạp?
Niềng răng có thể là một quá trình khá phức tạp và đòi hỏi kiên nhẫn. Mức độ khó khăn của việc niềng răng phụ...
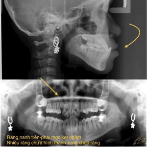
Trung tâm implant nha khoa kỹ thuật cao
Niềng răng có thể là một quá trình khá phức tạp và đòi hỏi kiên nhẫn. Mức độ khó khăn của việc niềng răng phụ...
Niềng răng không chỉ cải thiện vẻ ngoài của bạn mà còn có thể thay đổi chất lượng sống theo nhiều cách tích cực. 1....
Việc lựa chọn niềng răng hay làm răng sứ phụ thuộc vào tình trạng răng miệng, mục tiêu thẩm mỹ và yêu cầu cá nhân...
Răng khấp khểnh không chỉ ảnh hưởng đến thẩm mỹ mà còn có thể gây ra một số hậu quả lâu dài cho sức khỏe...
Đường thẩm mỹ E-line (hay còn gọi là đường thẳng E) là một khái niệm trong thẩm mỹ học, được sử dụng để xác định...
Niềng răng có thể làm thay đổi một phần khuôn mặt, nhưng mức độ thay đổi phụ thuộc vào từng trường hợp cụ thể. Các...