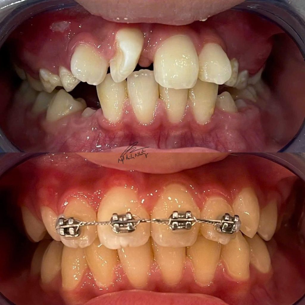
Niềng răng sớm ở trẻ em có thể rất có lợi nếu được thực hiện đúng thời điểm và với mục đích phù hợp. Tuy nhiên, việc quyết định niềng răng sớm phải dựa vào sự đánh giá và tư vấn của bác sĩ chỉnh nha.
Lợi ích của niềng răng sớm:
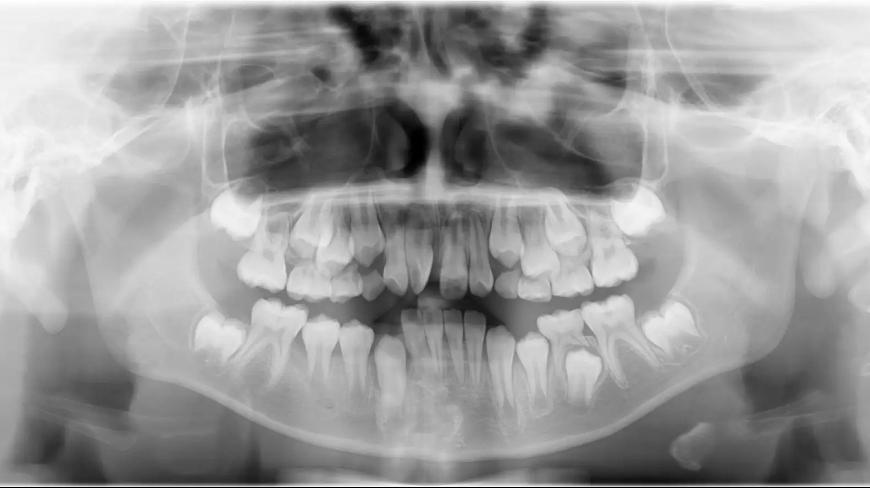
- Phát hiện và điều chỉnh các vấn đề phát triển hàm : Niềng răng sớm, thường từ 6 đến 8 tuổi, giúp bác sĩ chỉnh nha phát hiện và can thiệp kịp thời các vấn đề về sự phát triển của hàm và răng. Việc điều chỉnh sớm có thể giúp tránh các vấn đề nghiêm trọng hơn trong tương lai, như lệch lạc răng miệng, sai khớp cắn, hoặc các vấn đề về chức năng nhai.
- Điều chỉnh sự phát triển của xương hàm : Vào giai đoạn trẻ em đang trong quá trình phát triển, các xương hàm vẫn còn dẻo dai và có thể điều chỉnh dễ dàng hơn. Niềng răng sớm giúp tác động vào sự phát triển của hàm, giúp cho hàm trên và hàm dưới phát triển hài hòa, tránh tình trạng răng mọc lệch, vẩu hay móm sau này.
- Giảm thiểu nguy cơ phải phẫu thuật : Nếu các vấn đề về răng miệng được điều chỉnh sớm, khả năng phải thực hiện phẫu thuật chỉnh hàm sau này có thể giảm đi đáng kể. Điều này giúp trẻ không phải trải qua các phương pháp điều trị phức tạp hoặc đau đớn sau này.
- Giúp răng mọc đúng vị trí : Khi niềng răng sớm, bác sĩ có thể tạo không gian cho các răng vĩnh viễn mọc đúng vị trí, giúp tránh việc phải nhổ răng vĩnh viễn sau này nếu răng mọc chen chúc quá nhiều.
- Cải thiện thẩm mỹ và tự tin : Niềng răng sớm cũng giúp cải thiện thẩm mỹ khuôn mặt của trẻ, đặc biệt trong các trường hợp có vấn đề về răng vẩu hoặc móm. Điều này có thể giúp trẻ tự tin hơn khi giao tiếp và hạn chế các vấn đề tâm lý liên quan đến ngoại hình.

Lưu ý khi niềng răng sớm:
- Không phải trường hợp nào cũng cần niềng sớm : Không phải lúc nào cũng cần thiết. Một số vấn đề có thể được điều trị tốt hơn khi trẻ đã lớn hơn, khi các răng vĩnh viễn bắt đầu mọc hoàn chỉnh.
- Giải pháp phù hợp : Không phải tất cả các phương pháp niềng răng đều phù hợp cho trẻ em trong giai đoạn phát triển. Một số trường hợp chỉ cần theo dõi trong một thời gian, trong khi những trường hợp khác cần niềng sớm kết hợp với các biện pháp điều trị khác như khí cụ hỗ trợ.
- Cần được theo dõi thường xuyên : Nếu trẻ bắt đầu niềng răng sớm, cần có sự theo dõi định kỳ từ bác sĩ để điều chỉnh kế hoạch điều trị nếu cần thiết, vì sự phát triển của trẻ có thể thay đổi theo thời gian.

Khi nào nên bắt đầu niềng răng?
6–8 tuổi : Đây là độ tuổi thích hợp để đánh giá các vấn đề về sự phát triển của hàm và răng. Bác sĩ chỉnh nha sẽ theo dõi tình trạng răng miệng và có thể bắt đầu điều trị nếu cần.
Từ 9-11 tuổi : Đối với những trẻ có vấn đề về sai khớp cắn (vẩu, móm) hoặc có sự chen chúc răng nghiêm trọng, có thể cần bắt đầu niềng răng sớm hơn để giảm thiểu các vấn đề sau này.
Kết luận:
Niềng răng sớm có thể rất hữu ích cho trẻ nhỏ nếu được thực hiện khi cần thiết, giúp cải thiện sự phát triển của hàm và tránh các vấn đề nghiêm trọng trong tương lai. Tuy nhiên, điều quan trọng là phải có sự tư vấn từ bác sĩ chỉnh nha để xác định thời điểm và phương pháp điều trị phù hợp nhất cho từng trường hợp cụ thể.