1. Trường hợp KHÔNG cần nhổ răng khôn:
- Răng khôn khỏe mạnh.
- Phát triển hoàn toàn.
- Mọc đúng vị trí và khớp với răng đối diện.
- Được làm sạch trong quá trình vệ sinh răng miệng hàng ngày.
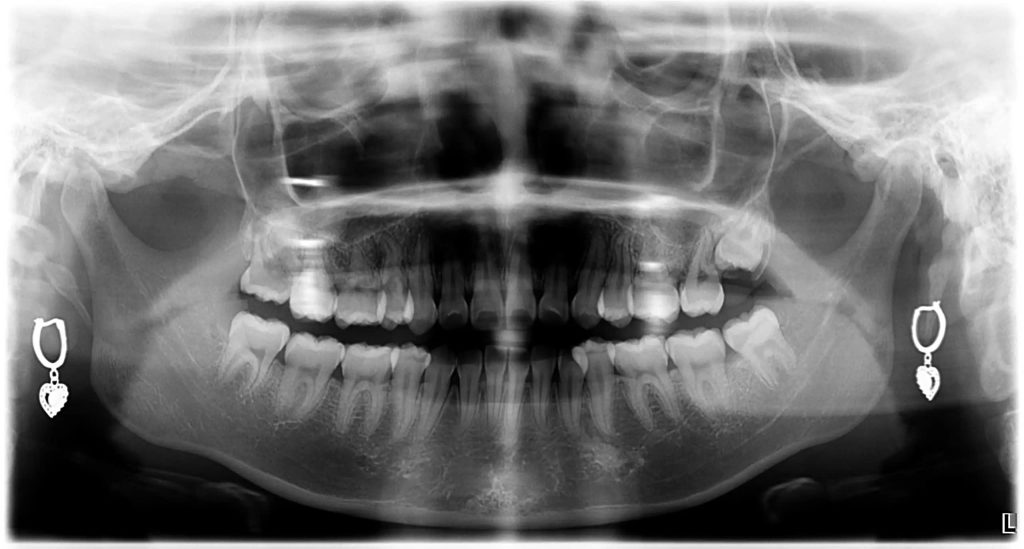
2. Trường hợp NÊN nhổ răng khôn:
Khi hàm không đủ chỗ cho răng khôn mọc lên như bình thường, điều này có thể gây ra nhiều vấn đề cho sức khỏe răng miệng. Răng khôn có thể mọc ở nhiều góc độ khác nhau trong hàm, tạo ra hiện tượng răng mọc chen chúc, hoặc thậm chí mọc lệch và tạo ra các vấn đề:
- Vẫn nằm ẩn hoàn toàn trong nướu: nếu răng khôn bị mắc kẹt trong hàm. Điều này có thể dẫn đến nhiễm trùng hoặc tạo thành u nang gây tổn thương chân răng và các cấu trúc nâng đỡ răng khác.
- Nhú 1 phần lên khỏi nướu: khu vực răng khôn mọc thường khó nhìn thấy. Do đó, việc vệ sinh khó khăn, tạo điều kiện cho vi khuẩn phát triển, gây ra bệnh nướu răng và nhiễm trùng răng miệng.
- Mọc chen chúc: nếu khung hàm không có đủ chỗ để răng khôn phát triển bình thường, răng khôn có khả năng mọc chen chúc hoặc làm hỏng các răng lân cận, khiến các răng khác lung lay, tiêu xương hoặc mất răng.
Bác sĩ khuyến nghị nên nhổ răng khôn nếu chúng chưa mọc hoàn toàn, trước khi chân răng và xương được hình thành đầy đủ, điều này sẽ thúc đẩy quá trình phục hồi nhanh hơn sau phẫu thuật.
