Mất răng lâu ngày có thể gây ra nhiều hậu quả nghiêm trọng cho sức khỏe răng miệng và toàn thân, bao gồm:
Teo xương hàm : Khi mất răng, xương hàm không còn được kích thích bởi các lực nhai, dẫn đến việc mất dần chất lượng và khối lượng xương tại khu vực mất răng. Điều này có thể làm thay đổi khuôn mặt và làm giảm khả năng lắp răng giả hoặc cấy ghép sau này.
Mất chức năng nhai : Việc mất một hoặc nhiều răng có thể làm giảm khả năng nhai thức ăn, gây khó khăn trong việc ăn uống, làm giảm khả năng tiêu hóa và sức khỏe tổng thể.
Di chuyển các răng còn lại : Khi mất răng, các răng còn lại có thể bị xô lệch, làm thay đổi cấu trúc của hàm và gây ra các vấn đề về khớp cắn.



Vấn đề về phát âm : Mất răng có thể ảnh hưởng đến khả năng phát âm rõ ràng, đặc biệt là đối với những răng cửa hoặc răng hàm.
Cách phục hồi khi mất răng lâu ngày
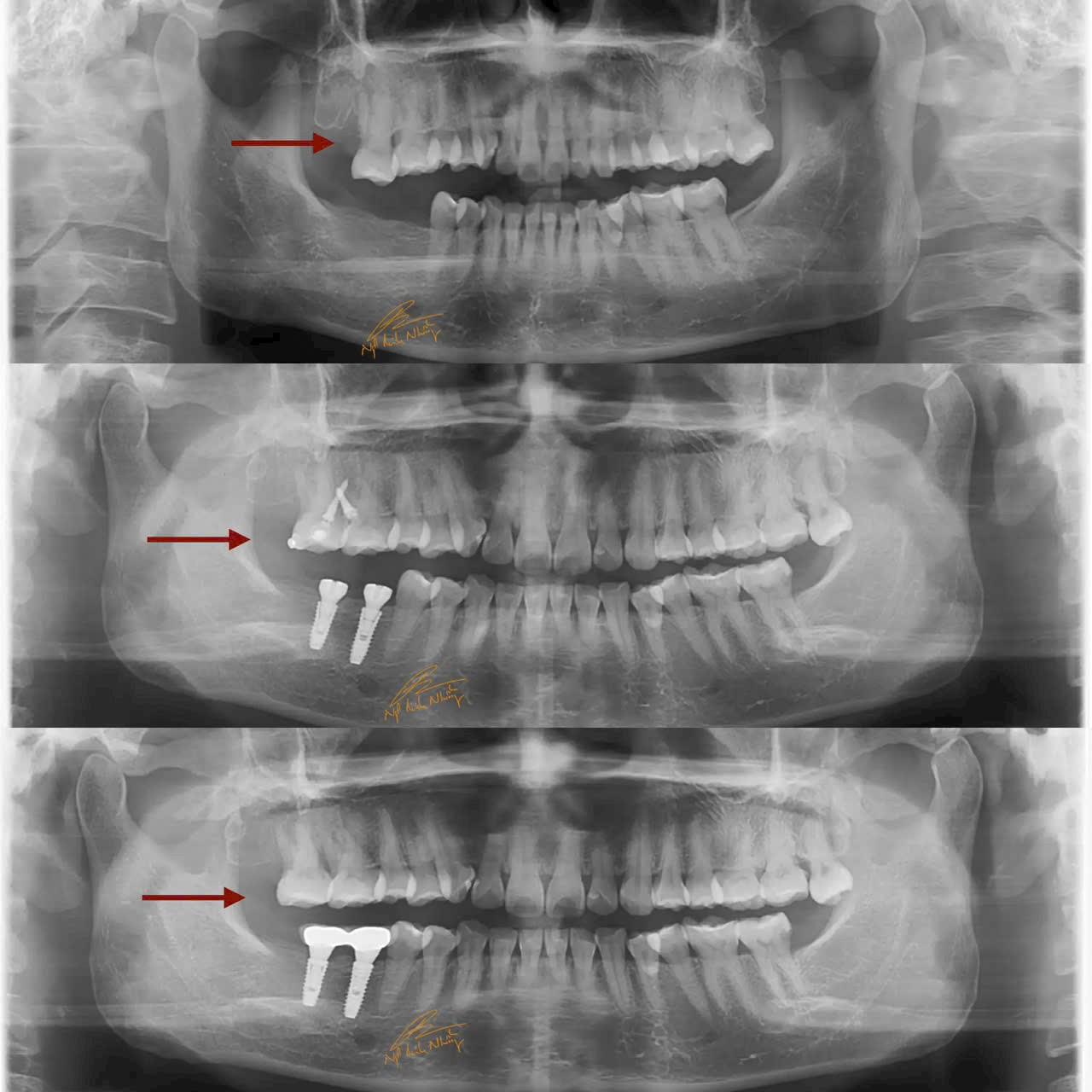
Cấy ghép răng (Implant) : Đây là phương pháp phổ biến và hiệu quả nhất để phục hồi răng đã mất. Cấy ghép răng giúp phục hồi chức năng nhai và ngăn ngừa tình trạng teo xương hàm. Cấy ghép được cấy vào xương hàm và có thể lắp răng giả lên đó.
Răng giả tháo lắp : Đây là một phương pháp phục hồi đơn giản và chi phí thấp. Răng giả tháo lắp có thể thay thế một hoặc nhiều răng đã mất và dễ dàng tháo ra khi cần thiết.
Cầu răng sứ : Phương pháp này liên quan đến việc sử dụng các răng bên cạnh khu vực mất răng để làm cầu nối, giữ răng giả ở giữa. Tuy nhiên, phương pháp này cần mài các răng khỏe mạnh bên cạnh răng đã mất.




Lời khuyên
Nếu bạn mất răng lâu ngày, hãy tham khảo ý kiến bác sĩ nha khoa để chọn phương pháp phục hồi phù hợp. Việc phục hồi răng càng sớm càng tốt sẽ giúp hạn chế các tác động tiêu cực đối với xương hàm và các răng còn lại.
Phục hồi răng miệng kịp thời không chỉ giúp bạn lấy lại nụ cười tự tin mà còn bảo vệ sức khỏe lâu dài.