Đường thẩm mỹ E-line (hay còn gọi là đường thẳng E) là một khái niệm trong thẩm mỹ học, được sử dụng để xác định tỷ lệ khuôn mặt đẹp và hài hòa, đặc biệt là đối với những ai muốn cải thiện vẻ ngoài qua phẫu thuật thẩm mỹ. Đường E-line được vẽ từ điểm mũi (chóp mũi) đến điểm cằm (chóp cằm) và là đường thẳng tưởng tượng nối từ đầu mũi đến cằm.

Trong một khuôn mặt đẹp, theo lý thuyết E-line, môi trên và môi dưới nên nằm ngay sau hoặc sát với đường này. Nếu các điểm như môi trên và môi dưới quá xa so với đường E-line, có thể khiến cho khuôn mặt bị mất cân đối và thiếu sự hài hòa.
Cách sử dụng E-line trong thẩm mỹ:
- Mũi: Mũi phải thẳng và không quá nhô ra, nếu mũi quá nhô so với đường E-line, có thể cần phẫu thuật thu gọn.
- Môi: Môi trên và dưới cần phải hài hòa với đường E-line. Nếu môi bị lồi ra quá nhiều, có thể cần can thiệp thẩm mỹ như tiêm filler hoặc phẫu thuật chỉnh hình.
- Cằm: Cằm cũng cần phải phù hợp với đường này. Nếu cằm quá nhô hoặc quá ngắn, có thể cần phẫu thuật chỉnh hình để tạo sự cân đối.
E-line là một công cụ giúp các bác sĩ thẩm mỹ đánh giá và lập kế hoạch chỉnh sửa các đặc điểm trên khuôn mặt sao cho hợp lý và tạo nên vẻ đẹp hài hòa, tự nhiên.

Niềng răng có thể ảnh hưởng đến đường E-line, nhưng mức độ thay đổi phụ thuộc vào các yếu tố như mức độ lệch lạc của răng, độ tuổi, và phương pháp niềng răng được áp dụng.
Cụ thể, niềng răng có thể làm thay đổi các yếu tố sau:
- Vị trí hàm răng và cằm: Niềng răng không chỉ giúp điều chỉnh răng mà còn có thể tác động đến vị trí của hàm trên và hàm dưới. Khi răng và hàm được căn chỉnh đúng vị trí, hàm sẽ hài hòa hơn với các đặc điểm khác trên khuôn mặt, làm cho đường E-line trở nên thẳng hơn và cải thiện tính thẩm mỹ.
- Sự thay đổi của môi: Khi răng được chỉnh lại, các môi có thể thay đổi vị trí. Chỉnh răng có thể giúp giảm độ lồi của môi trên hoặc môi dưới nếu chúng trước đó có xu hướng lồi quá mức so với đường E-line, giúp môi trở nên cân đối hơn với các đặc điểm khác của khuôn mặt.
- Cải thiện tỷ lệ khuôn mặt: Niềng răng giúp điều chỉnh sự lệch lạc của hàm, tạo ra sự cân đối giữa các bộ phận trên khuôn mặt, từ đó có thể làm đường E-line trở nên hợp lý hơn.


Tuy nhiên, việc thay đổi đường E-line bằng niềng răng chỉ có thể thực hiện được khi nguyên nhân lệch lạc là do vấn đề về răng miệng hoặc hàm. Nếu vấn đề liên quan đến các yếu tố khác như cấu trúc xương (ví dụ như cằm quá ngắn hoặc quá dài), niềng răng một mình sẽ không thể thay đổi được đường E-line đáng kể. Trong những trường hợp này, có thể cần đến các can thiệp phẫu thuật như chỉnh hàm hoặc thẩm mỹ mũi.
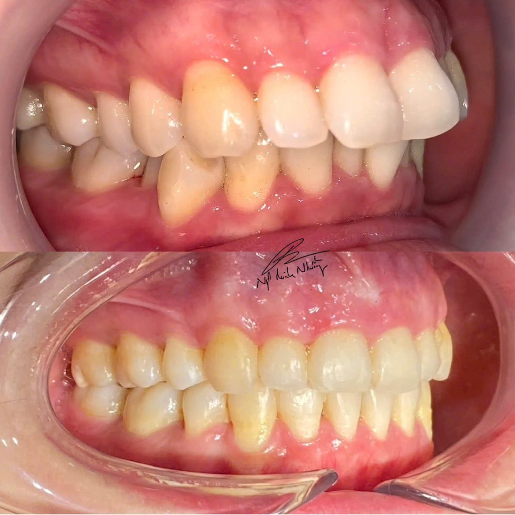
Một ca tiếp theo thay đổi E line, tương quan mũi-môi-cằm nhờ niềng răng:



Tóm lại, niềng răng có thể làm thay đổi đường E-line, nhưng mức độ thay đổi sẽ tùy thuộc vào tình trạng răng miệng và cấu trúc khuôn mặt của mỗi người.