
Nên làm gì sau khi nhổ răng khôn?
Sau khi nhổ răng khôn, để giảm thiểu đau đớn và hỗ trợ quá trình lành thương, bạn cần thực hiện một số biện pháp...
Trung tâm implant nha khoa kỹ thuật cao
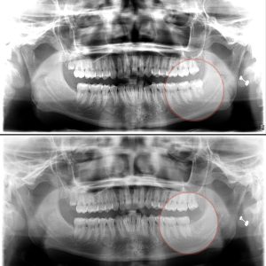
Răng khôn (hay còn gọi là răng số 8) là những chiếc răng cuối cùng trong hàm, thường mọc trong độ tuổi từ 17 đến 25. Việc mọc răng khôn đôi khi có thể gây ra nhiều vấn đề và biến chứng cho sức khỏe răng miệng.
Sau khi nhổ răng khôn, để giảm thiểu đau đớn và hỗ trợ quá trình lành thương, bạn cần thực hiện một số biện pháp...
Khối sưng cứng ở mặt sau khi nhổ răng khôn là một hiện tượng khá phổ biến. Đây là một phản ứng tự nhiên của...
1. Trường hợp KHÔNG cần nhổ răng khôn: 2. Trường hợp NÊN nhổ răng khôn: Khi hàm không đủ chỗ cho răng khôn mọc lên...